14.02.2026 09:34:35
| Life.ru
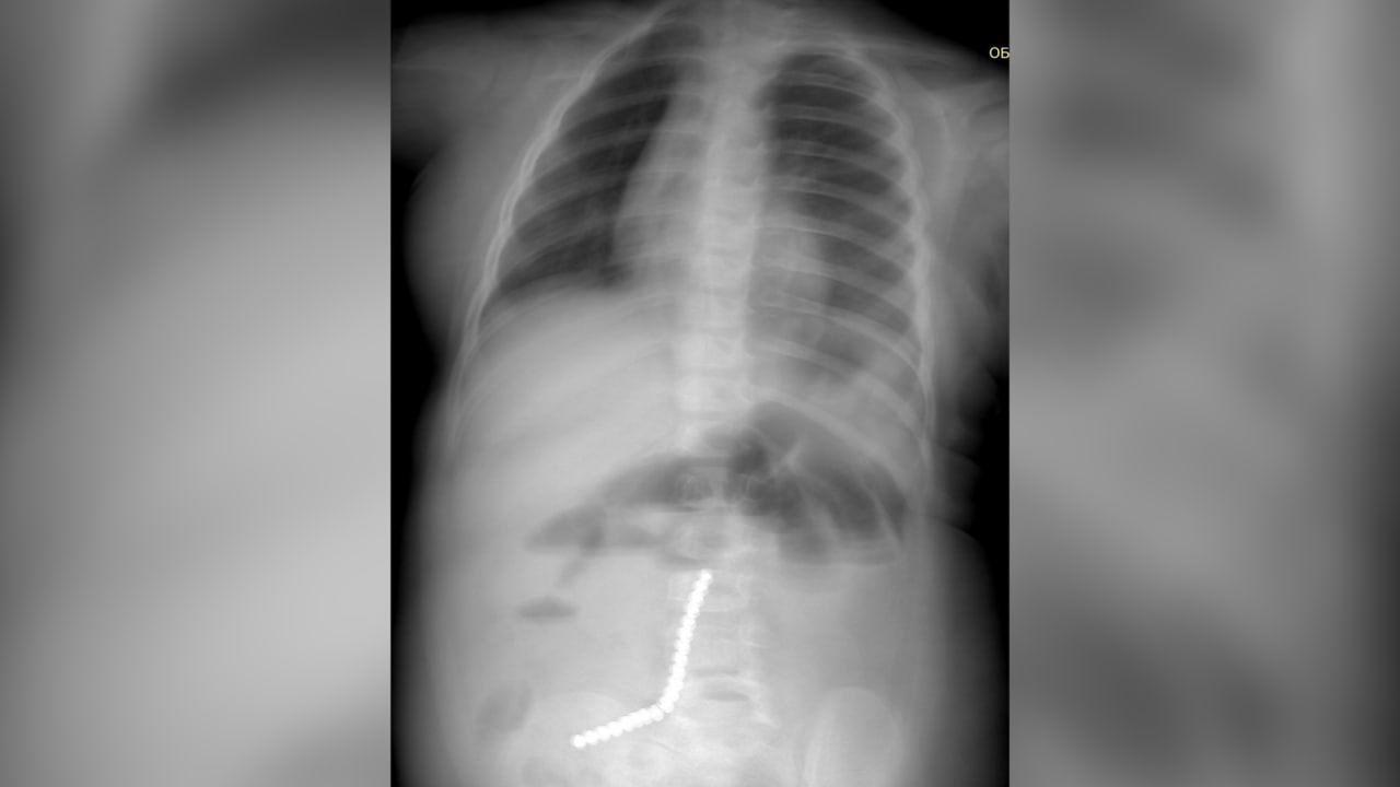
В Бурятии врачи спасли двухлетнего ребенка, проглотившего 20 магнитных шариков от неокуба. Подробности сложнейшей операции сообщили в Детской республиканской клинической больнице.
Читайте также
-
В Калининграде третий день ищут 12-летнего Тимура, который ушёл с незнакомцем и пропал
13.02.2026 20:14:17 | Life.ru
Шестиклассник поджёг заправку в Подмосковье по указанию мошенников из Сети
13.02.2026 17:18:02 | Life.ru
В Подмосковье школьница едва не погибла от удара током при просмотре TikTok в ванне
12.02.2026 13:59:23 | Life.ru
Родителям дали инструкцию из 4 шагов по борьбе с подростковой агрессией
12.02.2026 10:18:02 | Life.ru
Мать убитого 9-летнего Паши попросила прощения, стоя на коленях у его гроба
11.02.2026 20:06:18 | Life.ru
Малыша с «птичьим сердцем» и смертельно опасным пульсом спасли в Новосибирске
11.02.2026 13:38:56 | Life.ru
На компьютере убийцы 9-летнего Паши из Петербурга нашли терабайты детского порно
10.02.2026 12:18:52 | Life.ru
Стали известны дата и место прощания с убитым 9-летним Пашей из Петербурга
09.02.2026 23:19:34 | Life.ru
Поплавская призвал запретить «яжматерям» интернет после избиения ребёнка из-за плохих фото
09.02.2026 17:17:14 | Life.ru
Суд обязал выплатить семье девочки-инвалида из Читы почти 4 млн рублей за врачебные ошибки
09.02.2026 15:22:20 | Life.ru
У погибшего на перемене школьника на Урале были серьёзные проблемы с сердцем
09.02.2026 12:40:52 | Life.ru
В Оренбуржье подросткам не хватило денег на проезд, водитель высадил их в поле в мороз
09.02.2026 03:36:43 | Life.ru
В Саратовской области завели дело об убийстве после исчезновения подростка
08.02.2026 13:47:09 | Life.ru
Тело одного их упавших под лёд детей нашли в Брянске спустя три недели
08.02.2026 01:19:00 | Life.ru
Физрук применил удушающий приём к школьнику и назвал его собакой в лицее Подмосковья
07.02.2026 22:10:35 | Life.ru
Врачи спасают пальцы подростка, пострадавшего от взрыва петарды в Подмосковье
07.02.2026 16:00:13 | Life.ru
ЛЕНТА
-
В Сеченовском университете создали фантом молочной железы для хирургов
16.04.2026 23:59:05 | ferra.ru
ИИ-ассистент подскажет российским онкологам слова поддержки для пациентов
16.04.2026 23:25:49 | ferra.ru
Российские банки второй день отключены от сервиса проверки паспортов клиентов — СМИ
16.04.2026 23:10:41 | vc.ru
Российский робот в Японии, пропавший миллиард Grinex и слежка за пользователями
16.04.2026 22:30:51 | it-world
В Сеть утекли подробности младшей версии флагманского Snapdragon 8 Elite Gen 6
16.04.2026 22:03:11 | ferra.ru
Похоже, смартфоны Honor 600 получат улучшенный ИИ-генератор видео из фотографий
16.04.2026 21:16:24 | ferra.ru
Власти предложили запретить провайдерам хостинга предоставлять доступ владельцам VPN-сервисов — «Ъ»
16.04.2026 20:50:51 | vc.ru
Ростех внедрил четыре роботизированные ячейки на заводе «Техприбор» в Петербурге
16.04.2026 20:29:51 | ferra.ru
Google, Meta* и Microsoft игнорируют запрет на слежку за пользователями
16.04.2026 20:23:20 | it-world
ФМБА готовит около десятка научных проектов для новой орбитальной станции
16.04.2026 20:20:00 | ferra.ru
Сертификация раскрыла существование игрового смартфона RedMagic 11s Pro
16.04.2026 20:03:09 | ferra.ru
Криптобиржа Grinex заявила об «атаке западных спецслужб» и хищении 1 млрд рублей российских пользователей
16.04.2026 19:19:50 | vc.ru
«Норникель» будет создавать сплавы с помощью ИИ в новом центре при МГУ
16.04.2026 18:50:00 | ferra.ru
Bloomberg: Tesla искусственно завышала продажи Cybertruck в США — их покупали другие компании Илона Маска, включая SpaceX и xAI
16.04.2026 18:40:35 | vc.ru
Как наказать цифрового воробья или как я проходил таск PigeonsRevenge от платформы ACLabs.pro
16.04.2026 18:27:17 | Хабр
Русский народный день рождения Софьи Эрнст: благодарила мужа-царя, кружилась в хороводе
16.04.2026 18:00:00 | Woman.ru
Может ли Лерчек в терминальной стадии ходить в бассейн и спортзал — онколог поставил точку в споре
16.04.2026 17:51:49 | Woman.ru
ПИШИТЕ
Техническая поддержка проекта ВсеТут